Effective Lymph Node Transfer Eases Arm Swelling in Breast Cancer Patients
Published 29 May, 2024
A recent study led by Dr. Zhaohua Jiang from the Shanghai Ninth People’s Hospital has brought advancements in the treatment of lymphedema in breast cancer survivors. Through a procedure known as vascularized lymph node transfer (VLNT), Jiang and his team successfully demonstrated the restoration of lymphatic function in patients suffering from this painful condition.
"We uncovered evidence that VLNT can effectively reconnect the lymphatic system, reducing arm swelling and improving the lives of patients,” shares Jiang. “The technique involves transplanting healthy lymph nodes into the affected area, which then promotes the regeneration and reconnection of the lymphatic vessels.”
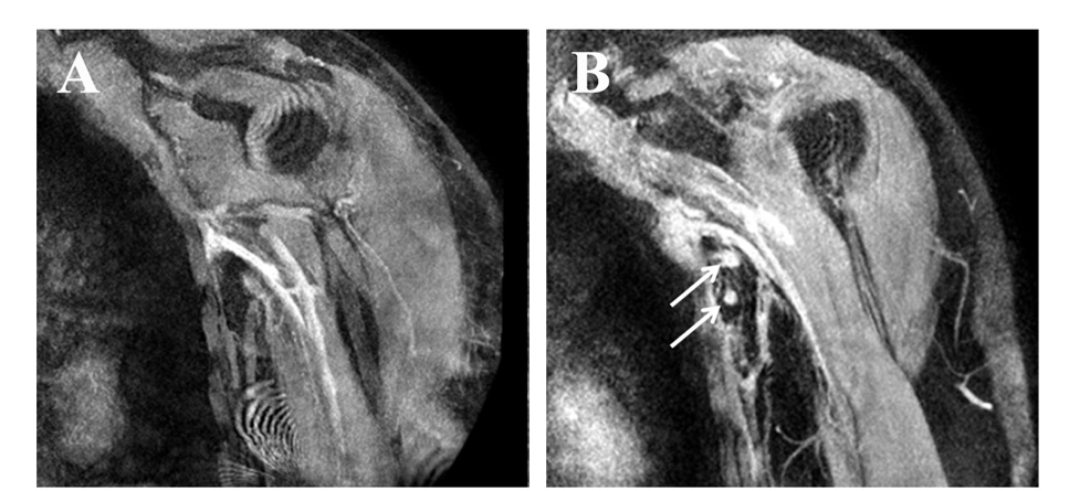
The researchers tracked the outcomes using magnetic resonance lymphangiography (MRL), an imaging technology that revealed significant improvement in lymphatic drainage and reduction in limb volume.
"Seeing the lymphatic pathways reform and begin functioning effectively within a year after the procedure was both unexpected and rewarding," remarks Jiang.
The team’s findings can pave the way for improved treatment options for those suffering from lymphedema post-breast cancer treatment. "This could provide patients not just symptom relief but also a sustained improvement in quality of life,” adds Jiang.


Contact author name, affiliation, email address:
Zhaohua Jiang,Department of Plastic and Reconstructive Surgery, Shanghai Ninth People’s Hospital, Shanghai Jiao Tong University, 639 Zhizaoju Road, Shanghai, 200011, China. E-mail address: dr_zhjiang@126.com
Funder:
This work was supported by the National Natural Science Foundation of China (grant nos. 81372080 and 82302822), Shanghai Municipal Key Clinical Specialty (grant no. shslczdzk00901), and Shanghai Sailing Program (grant no. 21YF1424000).
Conflict of interest:
Li S is an editorial board member for Chinese Journal of Plastic and Reconstructive Surgery and was not involved in the editorial review or the decision to publish this article. All authors declare that there are no competing interests.
See the article:
Jiang Z et al., Vascularized lymph node transfer using axilla as recipient site restores lymphatic flow in upper limb lymphedema: Evidence from magnetic resonance lymphangiography. Chin J Plast Reconstr Surg. 2024;6(1):1–7. https://doi.org/ 10.1016/j.cjprs.2024.02.001.